Provtagningsavgiften är en fast kostnad som avser besöket på mottagningen där du lämnar ditt prov. Avgiften påverkas inte av hur många tester du har beställt, men varierar beroende på ordervärdet:
Vid köp över 1000 kr ingår provtagningsavgiften.
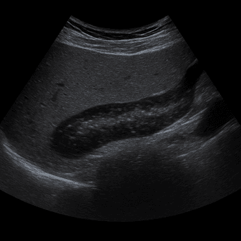
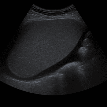
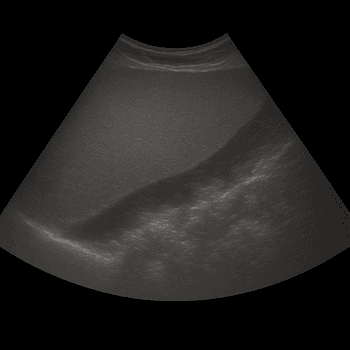
Upptäck sjukdomar och skador i kroppens organ med hjälp av modern ultraljudsdiagnostik. Undersökningen är helt smärtfri och ger detaljerade bilder av vävnader och organ i realtid. Resultatet granskas alltid av specialistläkare inom radiologi för att säkerställa en trygg och tillförlitlig bedömning.
Beställ ultraljudsundersökning – 4 enkla steg
Välj den ultraljudsundersökning du önskar genomföra och lägg till i varukorgen. Slutför din beställning och välj betalningsalternativ. Vi tillämpar alltid öppet köp på ultraljud i minst 30 dagar.
Efter betalning får du ett mejl med instruktioner. Logga in för att fylla i dina uppgifter och aktivera remissen. En läkare kontaktar dig för att bekräfta din bokning och diskutera dina önskemål.
Du kommer att bli kallad via Kivra eller post inom 7–10 arbetsdagar, besök den mottagning du kallats till på utsatt tid. Kontakta mottagningen direkt för eventuell ombokning om tiden inte passar dig.Läs mer
Du får återkoppling på dina bilder från ultraljudsundersökningen inom 5-7 arbetsdagar. I vissa fall kan det dock dröja några extra dagar innan det fullständiga resultatet är klart och granskat av specialistläkare.Läs mer
En ultraljudsundersökning eller sonografi är en säker, smärt- och strålningsfri metod som ger detaljerade bilder av kroppens organ, leder, kärl och mjukdelar. Ultraljud används för undersöka alla delar av kroppen som innehåller vätska och inte skyms av ben eller luft. Undersökningen kan upptäcka avvikelser som inte alltid syns på vanlig slätröntgen.

Testmottagningen.se drivs av vårdgivaren 19Plus AB. Vi är både personuppgiftsansvariga och medicinskt ansvariga för de uppgifter som du lämnar till oss. Vi värnar om din integritet och har ett systematiskt kvalitetsarbete i syfte att upprätthålla en hög säkerhet.
Läs mer om hur din intigritet skyddas här