Magnetkameraundersökning vid fotsmärta, hälbesvär eller misstänkt skada relaterade till foten
Foten är en komplex struktur som består av 26 ben, 33 leder och över 100 senor, muskler och ligament – allt samverkar för att bära kroppsvikten och möjliggöra rörelse. Det gör foten särskilt utsatt för belastningsskador, inflammationer och degenerativa förändringar som kan påverka både gång och livskvalitet.
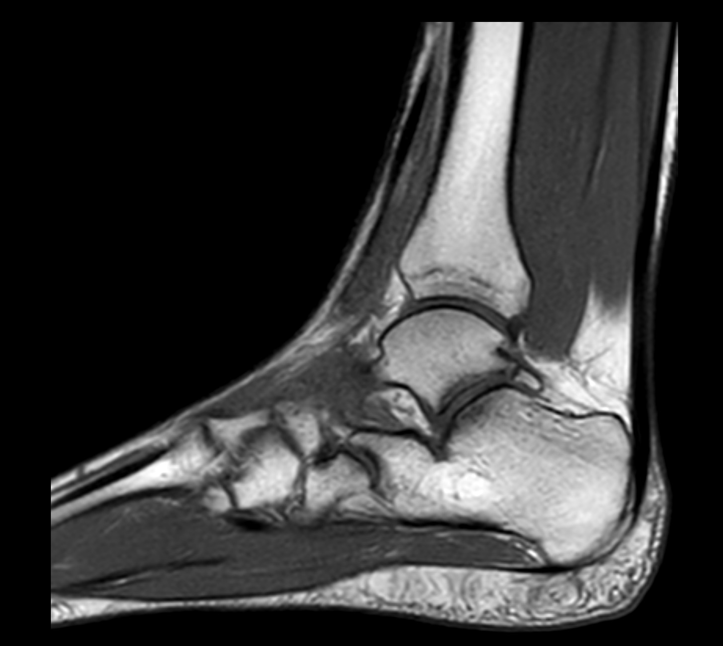
Med en magnetkameraundersökning (MR) av foten får du en högupplöst bild av fotens inre strukturer – inklusive skelett, ledbrosk, senor, ligament, ledkapslar och mjukdelar. Undersökningen är helt utan strålning och ger överlägsen detaljnivå jämfört med vanlig röntgen eller ultraljud, särskilt vid komplexa smärt- eller belastningsrelaterade problem i fot och häl.
MR fot är särskilt användbar vid långvarig eller svårförklarad fotsmärta, misstänkta stressfrakturer, senskador, artros, nervinklämning eller inflammation. Undersökningen är smärtfri, tar cirka 30 minuter, din remiss skickas iväg direkt efter genomgång tillsammans med en av våra läkare och du får sedan en kallelse för magnetröntgen hos en av radiologienheterna. Smärta, stelhet eller svullnad i foten kan bero på många olika tillstånd – från överbelastning och mikrofrakturer till reumatiska ledsjukdomar eller mjukdelstumörer.
MR är särskilt värdefullt när andra undersökningar inte gett tydliga svar eller när man misstänker skador som inte syns på röntgen. Du kan överväga MR fot om du upplever:
- Ihållande smärta i framfot, mellanfot eller häl – särskilt vid belastning eller gång.
- Misstänkt hälsporre eller plantar fasciit – där man vill bedöma inflammation och mjukdelsengagemang.
- Svullnad, värmeökning eller stelhet i fotleder eller småleder – misstanke om artrit eller synovit.
- Trauma mot foten – misstanke om fraktur, ledbandsskada eller senskada efter stukning eller fall.
- Nervsmärta, brännande känsla eller domningar – t.ex. vid misstänkt Morton’s neurom eller tarsaltunnelsyndrom.
- Förändringar i gångmönster eller belastningsförmåga – där biomekanisk störning eller strukturell skada misstänks.
MR ger en mycket tydlig bild av både benstruktur och mjukdelar, vilket gör undersökningen särskilt värdefull för att säkerställa diagnos inför behandling eller eventuell kirurgi.
MR används ofta vid misstanke om följande tillstånd i foten
- Plantar fasciit och hälsporre – inflammation i senfästet under foten, med eller utan skelettpålagring.
- Stressfrakturer – i metatarsalben, hälben eller mellanfot, som ofta missas på konventionell röntgen.
- Seninflammation och senskador – t.ex. i tibialis posterior eller peroneussenor vid plattfothet eller överbelastning.
- Morton’s neurom – nervinklämning mellan tårnas mellanfotsben, ofta med brännande smärta i framfoten.
- Artros i fotens småleder – MR visar tidiga förändringar i brosk och ledkapsel som inte syns på röntgen.
- Artrit eller reumatiska ledsjukdomar – såsom RA, psoriasisartrit eller gikt.
- Tumörer eller cystiska förändringar – inklusive ganglion, synoviala cystor eller andra mjukdelstumörer.
- Posttraumatiska förändringar – vid kvarstående smärta, stelhet eller svullnad efter skada.
Boka magnetkameraundersökning av foten
En MR av foten är en avancerad, icke-invasiv undersökning som ger viktig information om orsaken till dina besvär. Undersökningen är särskilt värdefull vid symtom som inte gett svar med andra metoder eller inför beslut om behandling eller operation. MR fot tar cirka 30 minuter, är helt smärtfri och utan strålning. Bilderna granskas av erfarna röntgenläkare, och du får ett skriftligt utlåtande inom några dagar.
Har du även besvär i fotleden? Eftersom många skador och sjukdomar påverkar både fot och ankelled, kan det vara fördelaktigt att genomföra MR av båda områdena samtidigt. Kontakta oss för rådgivning om lämplig undersökningsupplägg.







































































