MRI Pelvic – for gynecological problems, cysts or suspected endometriosis
If you have pain in the lower abdomen, irregular bleeding, fertility problems or suspect that something is not right in the lower abdomen, an MRI examination of the pelvis can be the next step to get the right diagnosis. MRI pelvic, also called MRI gynecology, is a painless and radiation-free examination that provides very detailed images of both the uterus, ovaries and fallopian tubes.
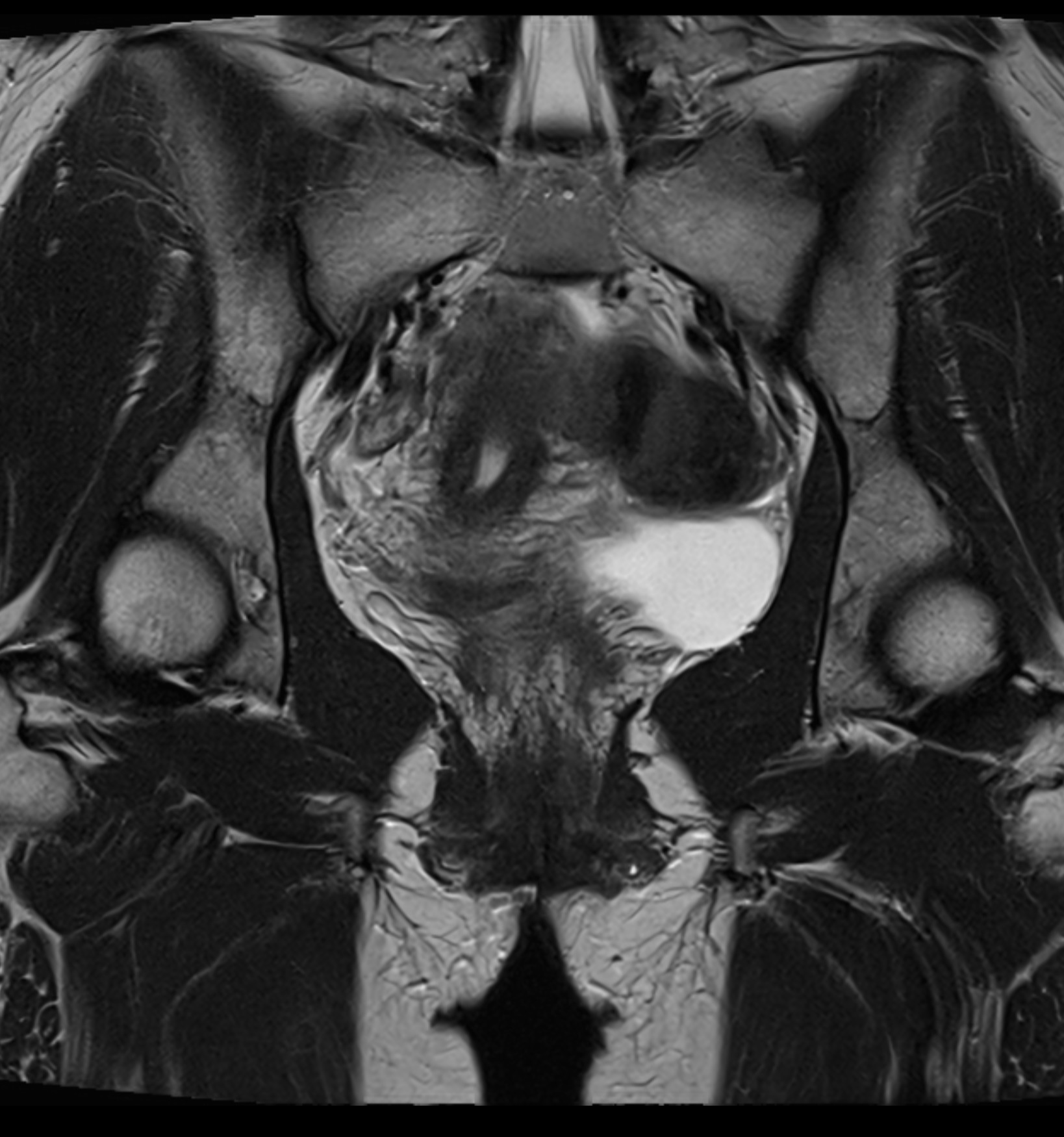
The examination is used when other methods such as ultrasound or gynecological examination have not been able to explain your symptoms. With the help of MRI, conditions such as endometriosis, fibroids, cysts, tumors, malformations or effects on nearby organs such as the bladder or intestines can be detected. It is also an important method before fertility treatment or in preparation for surgery.
Whether you are seeking answers to long-term symptoms or following up on previous findings, pelvic MRI gives you and your doctor a clear picture that can form the basis for the right treatment and continued care.
When is a pelvic MRI recommended?
The examination is aimed at those who identify as women and have symptoms from the lower abdomen that need further investigation. It is used for, among other things:
- Recurrent or prolonged pain in the lower abdomen or pelvis.
- Irregular, heavy or painful menstruation.
- Suspected endometriosis, fibroids or adenomyosis.
- Changes in the ovaries or uterus seen on ultrasound.
- Before fertility treatment or after repeated miscarriages.
- Suspected tumor or impact on the bladder and rectum.
- Enlarged lymph nodes or fluid in the abdomen without a clear cause.
MRI is an important method when other examinations have not provided clear answers or when you need an accurate mapping of changes before treatment or surgery.
MRI of the pelvis is often used when the following gynecological conditions are suspected
- Endometriosis – including deep endometriosis and adhesions.
- Myoma – fibroids in the uterine wall.
- Adenomyosis – mucous membrane tissue inside the uterine wall.
- Ovarian cysts or tumors.
- Malformations of the uterus or fallopian tubes.
- Impact on the bladder or rectum.
- Enlarged lymph nodes or fluid in the abdomen.
Preparations for an MRI scan
The scan cannot be performed if you have a pacemaker, insulin pump, metal splinter or other implanted electronic equipment. Implants such as hip prostheses or dental fillings are usually not an obstacle.
Book an MRI of the pelvis – get a referral immediately
An MRI of the pelvis helps you and your doctor understand the cause of your symptoms and choose the right treatment. The scan takes approximately 30–45 minutes, is completely painless and does not require any special preparation. We issue a referral in connection with your order, and you will receive a written opinion from a specialist within a few days.








































































