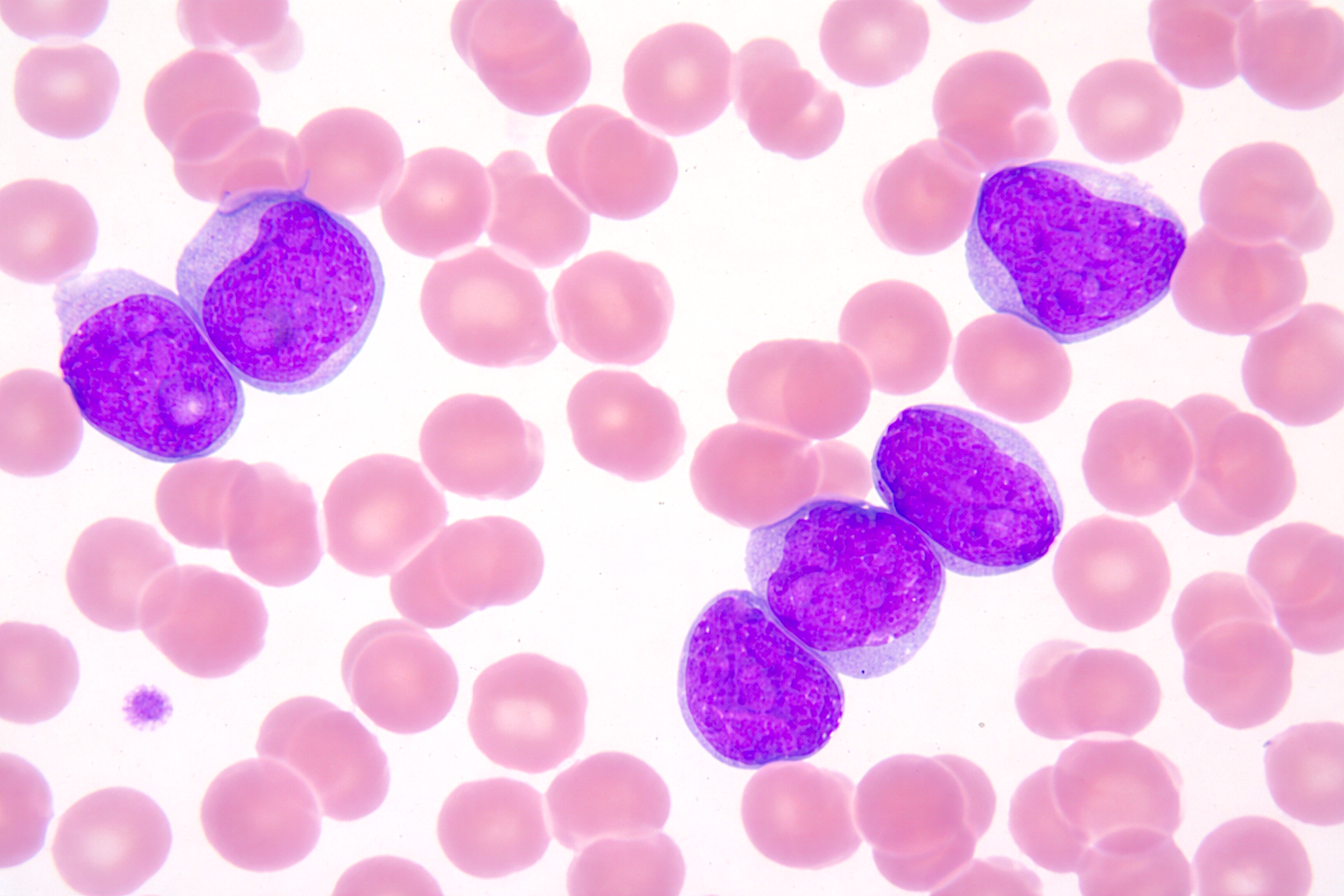
What are lymphocytes?
Lymphocytes are a type of white blood cells that play an important role in the immune system. There are several types of lymphocytes, including B lymphocytes and T lymphocytes.
B-lymphocytes produce antibodies that help identify and destroy foreign substances in the body, while T-lymphocytes directly attack infected cells and cancer cells.
Lymphocytes are also involved in remembering previous encounters with foreign substances, so that the body can react quickly if it encounters them again.
Different types of T lymphocytes:- Killer cells, CD8-positive T cells/cytotoxic T cells, are a type of T-lymphocyte specialized to identify and kill infected cells and tumor cells.
- Memory T cells are another type of T lymphocytes that are specialized in recognizing foreign substances that the body has been exposed to in the past. These cells remember previous encounters with foreign substances, so that the body can react quickly if it encounters them again.
- T-helper cells (CD4-positive T cells) are another type of T-lymphocytes that help activate other immune cells and form substances that help the immune system. They help regulate and coordinate the immune system by signaling to other cells what to do.
Why analyze lymphocytes?
Lymphocytes are often analyzed in medical contexts to calculate the levels of different types of lymphocytes in the blood. This can provide information about the general state of the immune system and any problems or diseases that may have been related to the lymphocytes.
A detailed analysis of lymphocytes can also provide information about the proportion of different types of lymphocytes, such as T lymphocytes and B lymphocytes, and their subsets, such as CD4- and CD8-positive T cells. This can provide important information about how the immune system is working and whether there are any specific problems with T or B lymphocytes.
The analysis of lymphocytes can also be used to monitor the treatment of diseases that affect lymphocytes, such as cancer or autoimmune diseases.
What can low value of lymphocytes mean?
A low level of lymphocytes, called lymphopenia, may indicate an infection, an autoimmune disease, or a disease that affects the bone marrow.
What can a high value of lymphocytes mean?
A high level of lymphocytes, called lymphocytosis, can indicate an infection, an inflammation or a cancer.
Differential count of B cellsDifferential count is a medical examination that aims to determine the proportion of different types of white blood cells (leukocytes) in a blood sample. The differential count is an important part of a complete blood count and can provide important information about the general state of the immune system and any problems or diseases that may be related to white blood cells.
Differential counting can be done both by mechanical classification (most common) and by examining the blood under the microscope where different types of white blood cells are counted; neutrophils, lymphocytes, monocytes, basophils and eosinophils. Each type of white blood cell has its own function and a change in the level of these cells can provide information about what is happening in the body.

































